В Оренбуржье врачи извлекли из желудка 8-летнего ребенка связку ключей
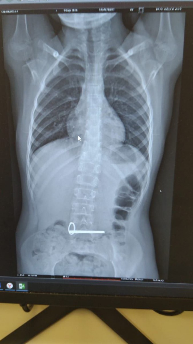
11.02.2025Ночью в отделение экстренной помощи ОДКБ поступил ребёнок с инородным телом в желудке. На снимке, сделанном во время обследования, отчётливо видны два ключа.
Эндоскописты без осложнений извлекли ключи из желудка ребёнка. Операция прошла под наркозом.
Заведующий эндоскопическим отделением ОДКБ Андрей Бобров отметил, что подобные случаи происходят довольно часто. В отделении даже собрана своеобразная коллекция предметов, которые врачи извлекали из лёгких и желудков маленьких пациентов: батарейки, орбизы, иголки, гвозди, булавки, заколки, скрепки, одёжные кнопки, магниты и многое другое.
«Мы в очередной раз напоминаем родителям о необходимости быть бдительными и следить за своими детьми, особенно когда они играют с мелкими предметами. Не оставляйте их без присмотра! Порой родители не сразу замечают, что ребёнок проглотил какой-то предмет, и инородное тело остаётся в организме на несколько дней, недель или даже дольше. Это может привести к серьёзным осложнениям, поэтому важно сразу обращаться к врачам», — подчеркнул Андрей Борисович.
Берегите своих детей!
Будьте внимательны и помните, что проглатывание любого предмета может быть опасно.
Важно не паниковать, а правильно действовать и вовремя обращаться к специалистам!
Другие новости
Помощник бурильщика по звонку «налоговой службы» перевел мошенникам более 1 200 000 рублейПотерпевший взял два кредита на сумму 700 000 рублей, занял у родственников около 600 000 рублей 26.01.2026 | |
Оренбуржца обманули на 95 000 рублей под предлогом покупки билетов из ИндииМужчина договорился о покупке билетов на самолет в мессенджере 23.01.2026 | В Оренбуржье за одну ночь из-за пожаров погибли три человекаВ Оренбурге предоложительная причина - курение в постели 22.01.2026 |






